Logo
Anzeige
Anzeige
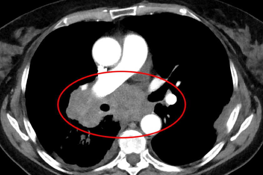
Aufnahme eines kleinzelligen Lungenkarzinoms, das zentral wächst und insbesondere den rechten Hauptbronchus einengt. Fotos: Klinikum Ingolstadt

Fünf Direktoren des Ingolstädter Klinikums und der Geschäftsführer appellieren: Bei starken Beschwerden frühzeitig ärztlichen Rat suchen sowie Vor- und Nachsorge-Angebote nutzen.

(ty) "Corona hinterlässt auch bei anderen Erkrankungen deutliche Spuren", heißt es in einer aktuellen Mitteilung aus dem Klinikum von Ingolstadt. "In der Pandemie werden schwere Erkrankungen später entdeckt." Bei einigen Krebsarten beobachten Ärzte den Angaben zufolge eine Zunahme der Schwere, bei Herzinfarkten mitunter ein Zögern, sich behandeln zu lassen. Der Geschäftsführer und fünf Direktoren des Klinikums von Ingolstadt appellieren vor diesem Hintergrund nun dringend an die Menschen in der Region, bei starken Beschwerden frühzeitig ärztlichen Rat zu suchen sowie auch die Vor- und Nachsorge-Angebote wahrzunehmen.

"Ich sehe, dass in der Corona-Pandemie Vorsorge-Untersuchungen und diagnostische Abklärungen insgesamt seltener wahrgenommen werden", berichtet Lars Henning Schmidt, Direktor der Klinik für Pneumologie, Beatmungs-Medizin und thorakale Onkologie. Seit Beginn der Pandemie sehe er in seiner Klinik mehr Lungenkrebsfälle in weit fortgeschrittenen und metastasierten Stadien als noch vor Corona. "Bösartige Lungentumore zählen ohnehin schon zu den häufigsten und gefährlichsten Krebsarten weltweit", erklärt das Klinikum dazu. "Waren vor Beginn der Pandemie bei rund einem Viertel aller Patienten noch keine Metastasen nachweisbar, so beobachte ich, dass der Anteil dieser Patienten seit zwei Jahren nur noch etwa ein Zehntel beträgt", bedauert der Chefarzt. Ähnliche Beobachtungen zur Schwere der Erkrankungen teilen eine Reihe weiterer Spezialisten am Klinikum Ingolstadt.

"Ins Klinikum kommen rund 20 Prozent mehr Patienten mit fortgeschrittenen Tumor-Erkrankungen als noch vor der Pandemie", schätzt Professor Andreas Manseck, der Direktor der Klinik für Urologie, für seinen Bereich.

Auch in der Klinik für Allgemein-, Viszeral- und Thorax-Chirurgie sieht Klinik-Direktor Professor Markus Rentsch vermehrt Patientinnen und Patienten mit schweren Krebs-Erkrankungen des Magen-Darm-Trakts. Während des Lock-Downs kamen laut Klinikum-Angaben vor allem bei potenziell heilbaren Tumoren der Bauchspeicheldrüse und Gallenwege, der Speiseröhre und des Dickdarms zwischen 20 und 30 Prozent weniger Patientinnen und Patienten. "Obwohl eine exakte Prozent-Angabe bei verschiedenen Tumorarten und individuell unterschiedlichen Grundvoraussetzungen problematisch ist, steht fest, dass mit jedem Monat, den der Krebs später erkannt wird, die Heilungs-Chancen sinken", betont Rentsch. Für viele der Erkrankungen, die in seiner Klinik behandelt werden, gebe es gute Früherkennungs-Programme wie etwa die Darmvorsorge.

 

Der Geschäftsführer und ärztliche Direktor des Klinikums Ingolstadt, Andreas Tiete (von links), sowie die Chefärzte Lars Henning Schmidt, Professor Andreas Manseck, Professor Markus Rentsch, Professor Thomas Pfefferkorn und Professor Karlheinz Seidl.

In den Herzkatheter-Laboren des Klinikums, in denen blockierte Gefäße bei einem Infarkt wieder geöffnet werden, sei die Zahl der Patienten um etwa ein Fünftel gesunken, schätzt Professor Karlheinz Seidl, der Direktor der Klinik für Kardiologie und internistische Intensiv-Medizin. Der durchschnittliche Rückgang liege deutschlandweit sogar noch höher – bei 35 Prozent. "Laut der Deutschen Gesellschaft für Kardiologie ist die Sterblichkeit bei kardiovaskulären Erkrankungen um knapp zehn Prozent gestiegen", meldet das Klinikum. "Bei einem Herzinfarkt zählt wirklich jede Minute", unterstreicht Seidl. Es gebe viele Warnzeichen: Wer zum Beispiel heftigen Druck oder brennende Schmerzen in der Brust verspüre, die länger als 15 Minuten andauern, sollte sofort ärztlichen Rat suchen.

Das würde sich auch Professor Thomas Pfefferkorn, Direktor der Klinik für Neurologie am Ingolstädter Klinikum, wünschen. Vor allem während des ersten Lock-Downs sei deutschlandweit ein Rückgang der Schlaganfall-Patienten von bis zu 25 Prozent beobachtet worden, heißt es aus Ingolstadt. "Ein Schlaganfall ist immer, auch in Zeiten einer Pandemie, ein medizinischer Notfall, der sofort behandelt werden muss", sagt Pfefferkorn und rät: Bei akuten Sehstörungen, Sprach-und Sprach-Verständigungs-Störungen, Lähmungen, Taubheits-Gefühlen oder starken Kopfschmerzen sollte sofort der Rettungsdienst verständigt werden.

Gemeinsam mit den fünf Klinik-Direktoren richtet Andreas Tiete, Geschäftsführer und ärztlicher Direktor des Klinikums von Ingolstadt, einen Appell an die Menschen der Region: "Gehen Sie zur Krebsvorsorge, denn Versäumnisse bei der individuellen Prävention sind gefährlich für Sie. Zögern Sie nicht, bei Verdacht auf eine schwere Erkrankung wie einen Schlaganfall oder einen Herzinfarkt frühzeitig den Rettungsdienst zu rufen!" Tiete weiter: "Das Ansteckungs-Risiko in einer Arzt-Praxis oder in einem Krankenhaus mit Sicherheits-Konzept ist klein – viel geringer als das Risiko einer unerkannten Krebs-Erkrankung oder eines zu spät behandelten Schlaganfalls oder Herzinfarkts."

Hier finden Sie alle wichtigen bisher veröffentlichten Beiträge über die Corona-Virus-Krise in der Region im Überblick 

 

Anzeige
RSS feed